Un estudio publicado este miércoles, muestra que un programa de Inteligencia Artificial (IA) parece capaz de reducir la carga de trabajo de los radiólogos en la detección del cáncer de mama, aunque es demasiado pronto para concluir sobre su eficacia, el mismo fue realizado en Suecia y publicado en The Lancet Oncology.
Este estudio concluye también que no hay riesgo de que los radiólogos utilicen software de inteligencia artificial (IA) para orientar mejor sus análisis; los investigadores dividieron a unas 80.000 mujeres en dos grupos de tamaño similar.
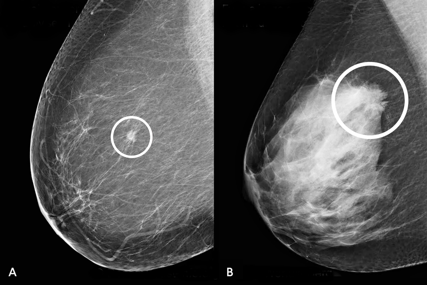
Todas ellas realizaron una mamografía, pero el primer grupo se cribó de forma convencional, es decir con la mirada de dos radiólogos independientes, mientras que los datos del segundo fueron examinados primero por una IA y luego por un solo radiólogo.
Uso de IA en la detención del cáncer de mama
Por otra parte la tasa de "falsos positivos" los casos en los que el primer examen detecta erróneamente cáncer fue similar; el uso de esta tecnología podría reducir a la mitad la carga de trabajo de estos médicos porque el procedimiento que involucra inteligencia artificial solo necesita un radiólogo.
Estos resultados son prometedores porque las pruebas de detección son una de las principales formas para combatir el cáncer de mama. En países como Francia, los test son muy frecuentes entre las mujeres de 50 a 74 años, en línea con las recomendaciones europeas.
Pero Lang cree que estos prometedores resultados provisionales no son "suficientes por sí solos para confirmar que la IA está lista para ser implementada en la detección de mamografías", dijo en un comunicado.
IA será evaluado para conocer su eficacia en la detención del cáncer
Pese al estudio, es demasiado pronto para concluir el interés de la IA en este campo y se necesitarán varios años para saber si ha sido tan eficaz como la doble opinión humana.
En este sentido, los investigadores tienen previsto comparar dentro de dos años la tasa de cánceres que han escapado a la detección pero que habrán sido diagnosticados.
Los datos del estudio no arrojan luz sobre el riesgo de "sobrediagnóstico", es decir, la detección de lesiones que no se habrían convertido en cánceres peligrosos sin tratamiento.
La cuestión del "sobrediagnóstico" centra las críticas contra la política de test generalizados, aunque la investigación confirma cada vez más que sí sirve para reducir la mortalidad por cáncer de mama.
El riesgo de sobrediagnóstico "debería alentar la cautela con respecto a la interpretación de los resultados", advirtió el oncólogo Nereo Segnan, que no participó en el estudio, en un comentario a The Lancet Oncology, al tiempo que reconoció que es prometedor.
Stephen Duffy, profesor de detección de cáncer en la universidad Queen Mary de Londres que no participó en el estudio, señala que la IA puede haber diagnosticado en exceso ciertas formas de cáncer de mama temprano, llamado carcinoma ductal in situ.
No obstante, elogió este "estudio de alta calidad" y dijo que reducir la carga de trabajo de los radiólogos es "una cuestión de considerable importancia" en muchos programas de detección de cáncer de mama.
FUENTE: AFP





